Skip to main content

New announcement. Learn more

Cardiac Surgery and Coronary Angioplasty 

Cardiac Surgery

When The Heart Trust was first established, it was with the aim of facilitating the development of Cardiac Surgery at Waikato Hospital.

In the 1970s and 80s, access to cardiac surgery for all NZers was poor by international standards and nowhere more so than in the Midland Region. A Cardiac Services Review Committee was established by the government in 1987. Submissions were sought from the “major centres” (not including Waikato in those days). The quality of the unsolicited submissions from Waikato was such that the Committee visited Waikato Hospital and, in its report, recommended to the Government that cardiac surgery be established at Waikato Hospital.

Dr Clyde Wade: “The Committee visited Waikato Hospital and was provided with a whole-of-hospital response with all relevant heads of department and The Heart Trust in attendance. What swung the day was that we were able to present the Hospital as a “going concern” – not least in Cardiology, where some of the infrastructure that had been supported by The Heart Trust was key to helping show we could do the job. The Heart Trust also committed to providing a new colour doppler echocardiograph for the service.”

“We had to recruit a Cardiac Surgeon and a head Perfusionist from overseas. Spending health money on travel for spouses to come and look at the job was frowned upon. The Heart Trust trustees needed no persuasion about the importance of having spouses involved in the decision to move their families to the other side of the world and readily agreed to support this.  I believe this was a critical step in the success of the whole process.”

The first open-heart surgery was performed at Waikato Hospital in March 1989. To date, over 16000 operations have been performed – principally on patients from throughout the Midland Region.

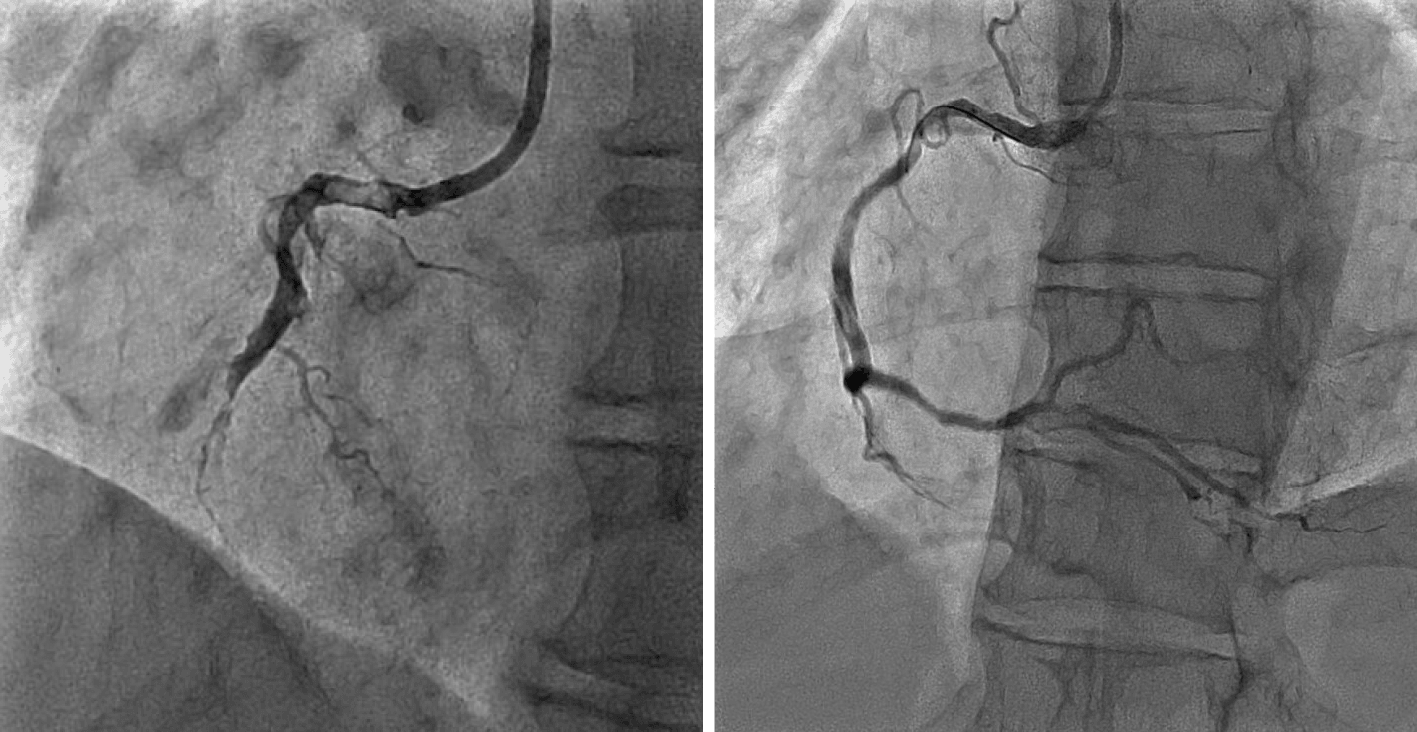
Coronary Angioplasty

In the 1980s, coronary angioplasty could only be undertaken if cardiac surgery was available on site as a backup. Coronary angioplasty was part of the plan for cardiac surgery at Waikato – the plan being to allow cardiac surgery to bed-in before starting coronary angioplasty. The first coronary angioplasty at Waikato Hospital was undertaken in April 1990, 13 months after the commencement of cardiac surgery.

Cardiology continued to evolve, and immediate angioplasty (“primary angioplasty”) for certain types of heart attack became the standard of care. Patients are shipped from the ED to the Cardiac Laboratory within an hour of arriving at Waikato Hospital and a stent is implanted into the relevant blood vessel.

The first primary angioplasty was carried out at Waikato Hospital in October 1994. Waikato Hospital was able to run this service 24 hours a day for 10 years before any other major centre in NZ – saving many lives. (Some major centres in North America still couldn’t do this 15 years later!)

Over 20,000 coronary angioplasties (including 2000 primary angioplasties) have been performed at Waikato Hospital.

 

This product has been added to your cart

CHECKOUT